Busch fracture
| Busch fracture | |
|---|---|
![]() | |
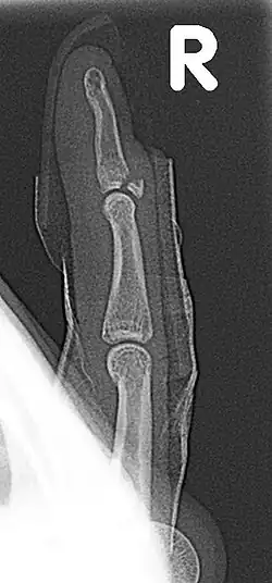
| Fracture of the dorsal base of the distal falange by extensor tendon avulsion (Busch fracture) | |
| Specialty | Orthopedic |
In medicine a Busch fracture[1] is a type of fracture of the base of the distal phalanx of the fingers, produced by the removal of the bone insertion (avulsion) of the extensor tendon. Without the appropriate treatment, the finger becomes a hammer finger. It would correspond to the group B of the Albertoni classification.[2] It is very common in motorcycle riders and soccer joggers, caused by hyperflexion when the tendon is exercising its maximum tension (the closed hand tightening the clutch lever or the brake lever).[3][4]
The Busch fracture is named after Friedrich Busch (1844–1916), who described this type of fracture in the 1860s. Busch's work was drawn on by Albert Hoffa in 1904, resulting in it sometimes being called a "Busch-Hoffa fracture".[5]
The mechanism of this injury can be described as an avulsion of the tendon fixed to the distal phalanx.[6][7][8]
-
A Busch fracture, showing the characteristic mallet finger -
Busch fracture mechanism: because the bit of bone attached to the tendon has broken off, the tendon can't extend the finger tip
See also
References
- ^ Giovanni De Bastiani; Alan G. Apley; Anthony A.J. Goldberg (6 December 2012). Orthofix External Fixation in Trauma and Orthopaedics. Springer Science & Business Media. pp. 883–. ISBN 978-1-4471-0691-3.
- ^ Almeida VA, Fernandes CH, Santos Jbgd Schwarz-Fernandes FA, Faloppa F, Albertoni WM (2018). "Evaluation of interobserver agreement in Albertoni's classification for mallet finger". Rev Bras Ortop. 53 (1): 2–9. doi:10.1016/j.rboe.2017.12.001. PMC 5771784. PMID 29367899.
- ^ Tim B Hunter; Leonard F Peltier; Pamela J Lund (2000). "Musculoskeletal Eponyms: Who Are Those Guys?". RadioGraphics. 20 (3): 819–36. doi:10.1148/radiographics.20.3.g00ma20819. PMID 10835130.
- ^ James Rheuben Andrews; Gary L. Harrelson; Kevin E. Wilk (1 January 2012). Physical Rehabilitation of the Injured Athlete. Elsevier Health Sciences. pp. 280–. ISBN 978-1-4377-2411-0.
- ^ Samba Koné; Abdoulaye Bana; Stanislas André Touré (2015). "Hoffa fracture of medial unicondylar and bilateral in a man: a rare case". The Pan African Medical Journal. 20: 382. doi:10.11604/pamj.2015.20.382.6092. PMC 4499274. PMID 26185572.
- ^ James H. Beaty; James R. Kasser (2010). Rockwood and Wilkins' Fractures in Children. Lippincott Williams & Wilkins. pp. 233–. ISBN 978-1-58255-784-7.
- ^ M. Patrice Eiff; Robert L. Hatch; Walter L. Calmbach (1999). Tratamiento de las fracturas en atención primaria. Elsevier España. pp. 31–. ISBN 978-84-8174-431-6.
- ^ Robert H. Fitzgerald; Herbert Kaufer; Arthur L. Malkani (2004). Ortopedia. Ed. Médica Panamericana. pp. 354–. ISBN 978-950-06-0791-9.
