Lung tumor

Lung tumor
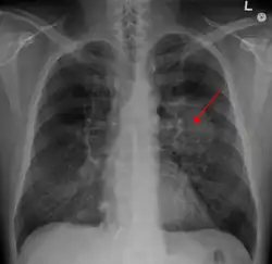
A chest X-ray showing a tumor in the lung (marked by arrow)
SpecialtyOncology Pulmonology
SymptomsCoughing (including coughing up blood), weight loss, shortness of breath, chest pains[1]
ComplicationsLung cancer
CausesSmoking Radon gas Asbestos Air pollution Genetics

Lung tumors are neoplastic lung nodules. These include:

Primary tumors of the lung/pulmonary system:

Non-lung tumors which may grow into the lungs:

Metastasis or secondary tumors/neoplasms with other origin:

See also

References

  1. ^ Horn L, Lovly CM (2018). "Chapter 74: Neoplasms of the lung". In Jameson JL, Fauci AS, Kasper DL, Hauser SL, Longo DL, Loscalzo J (eds.). Harrison's Principles of Internal Medicine (20th ed.). McGraw-Hill. ISBN 978-1259644030.
  2. ^ "What Is Lung Cancer? | Types of Lung Cancer". www.cancer.org. Retrieved 2023-01-24.
  3. ^ "What Is Lung Cancer? | CDC". www.cdc.gov. 2022-10-25. Retrieved 2023-01-24.
  4. ^ "Lung cancer". nhs.uk. 2017-10-23. Retrieved 2023-01-24.
  5. ^ Siddiqui, Faraz; Vaqar, Sarosh; Siddiqui, Abdul H. (2022), "Lung Cancer", StatPearls, Treasure Island (FL): StatPearls Publishing, PMID 29493979, retrieved 2023-01-24
  6. ^ Dela Cruz, Charles S.; Tanoue, Lynn T.; Matthay, Richard A. (December 2011). "Lung Cancer: Epidemiology, Etiology, and Prevention". Clinics in Chest Medicine. 32 (4): 605–644. doi:10.1016/j.ccm.2011.09.001. PMC 3864624. PMID 22054876.
  7. ^ Ali, Kamran (2023-01-24). "Neuroendocrine Tumours of the Lung". Dr Kamran Ali. Retrieved 2023-01-24.
  8. ^ a b Giménez A, Franquet T, Prats R, Estrada P, Villalba J, Bagué S (2002). "Unusual primary lung tumors: a radiologic-pathologic overview". Radiographics. 22 (3): 601–19. doi:10.1148/radiographics.22.3.g02ma25601. PMID 12006690. Archived from the original on 2014-10-07. Retrieved 2014-07-25.
  9. ^ Gladish GW, Sabloff BM, Munden RF, Truong MT, Erasmus JJ, Chasen MH (2002). "Primary thoracic sarcomas". Radiographics. 22 (3): 621–37. doi:10.1148/radiographics.22.3.g02ma17621. PMID 12006691.