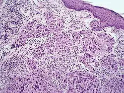
Melanoma with features of a Spitz nevus
| Melanoma with features of a Spitz nevus | |
|---|---|
| Other names | Spitzoid melanoma |
![]() | |
| Spitzoid melanoma | |
| Specialty | Dermatology |
Melanoma with features of a Spitz nevus, also known as a Spitzoid melanoma, is a cutaneous condition characterized histologically with tissue similar to a spitz nevus and with overall symmetry and a dermal nodule of epithelioid melanocytes that do not mature with progressively deeper dermal extension.[1]
