Solid pseudopapillary tumour
| Solid pseudopapillary tumour | |
|---|---|
| Other names | Solid pseudopapillary neoplasm, solid pseudopapillary tumour/neoplasm of the pancreas, Frantz's tumour |
![]() | |
| Cytopathology of solid pseudopapillary tumour/neoplasm with main findings that distinguish it from pancreatic endocrine neoplasms and acinar cell carcinomas.[1] Diff-Quik stain. | |
| Specialty | Oncology |
A solid pseudopapillary tumour is a low-grade malignant neoplasm of the pancreas of papillary architecture that typically afflicts young women.[2]
Signs and symptoms
Solid pseudopapillary tumours are often asymptomatic and are identified incidentally on imaging performed for unrelated reasons. Less often, they may cause abdominal pain. Solid pseudopapillary tumours tend to occur in women, and most often present in the third decade of life.[3]
Diagnosis

The gold standard for diagnosing solid pseudopapillary tumour of the pancreas is cytopathology by endoscopic ultrasound (EUS) guided fine needle aspiration (FNA) of the lesion.[4] After surgical excision, the tumor can undergo histopathology evaluation for cancer staging.
Gross morphology
Solid pseudopapillary tumours are typically round, well-demarcated, measuring 2–17 cm in diameter (average 8 cm), with solid and cystic areas with hemorrhage on cut sections.[5]
Histomorphology
Solid pseudopapillary tumours consist of solid sheets of cells that are focally dyscohesive. The cells in the lesion usually have uniform nuclei with occasional nuclear grooves, eosinophilic or clear cytoplasm and PAS positive eosinophilic intracytoplasmic globules.[6] Necrosis is usually present and, as cell death preferentially occurs distant from blood vessels, lead to the formation of pseudopapillae.
Immunohistochemistry
Solid pseudopapillary tumours show positive nuclear staining for beta catenin, as well as positive immunostaining for CD10, CD56, vimentin, alpha 1-antitrypsin, and neuron specific enolase; they are negative for chromogranin and pancreatic enzymes.[7][8]
-
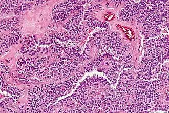
Histopathology of solid pseudopapillary tumor[9] -
Histopathology of a solid pseudopapillary tumour. H&E stain. This case also shows the key feature of intracytoplasmic hyaline globules. -
Relative incidence of various pancreatic neoplasms, with solid pseudopapillary neoplasm annotated at center right.[10] -
![β-catenin immunohistochemistry in solid pseudopapillary tumor, staining the nuclei in 98% of such cases.[11] Cytoplasm is also staining in this case.](./_assets_/Beta-catenin_immunohistochemistry_in_solid_pseudopapillary_tumor.jpg)
Management
In most cases, solid pseudopapillary tumours should be resected surgically, as there is a risk of malignancy (cancer).
See also
References
- ^ Source for mentioned findings: Pitman MB, Centeno BA, Daglilar ES, Brugge WR, Mino-Kenudson M (2014). "Cytological criteria of high-grade epithelial atypia in the cyst fluid of pancreatic intraductal papillary mucinous neoplasms". Cancer Cytopathol. 122 (1): 40–7. doi:10.1002/cncy.21344. PMID 23939829. S2CID 205677185.
Images and annotations: Mikael Häggström, M.D. - ^ Patil TB, Shrikhande SV, Kanhere HA, Saoji RR, Ramadwar MR, Shukla PJ (2006). "Solid pseudopapillary neoplasm of the pancreas: a single institution experience of 14 cases". HPB. 8 (2): 148–50. doi:10.1080/13651820510035721. PMC 2131425. PMID 18333264.
- ^ Shuja, Asim (May 2014). "Solid pseudopapillary tumor: a rare neoplasm of the pancreas". Gastroenterol Rep (Oxf). 2 (2): 145–149. doi:10.1093/gastro/gou006. PMC 4020125. PMID 24759340.
- ^ De Moura, D.T.H. (2018). "The importance of endoscopic ultrasound fine-needle aspiration in the diagnosis of solid pseudopapillary tumor of the pancreas: two case reports". Journal of Medical Case Reports. 12 (107): 107. doi:10.1186/s13256-018-1585-3. PMC 5918898. PMID 29695287.
- ^ Fletcher CDM (2007). Diagnostic Histopathology of Tumors. Vol. I (3rd ed.). Elsevier. p. 478.
- ^ Serra S, Chetty R (November 2008). "Revision 2: an immunohistochemical approach and evaluation of solid pseudopapillary tumour of the pancreas". J. Clin. Pathol. 61 (11): 1153–9. doi:10.1136/jcp.2008.057828. PMID 18708424.
- ^ Stömmer P, Kraus J, Stolte M, Giedl J (March 1991). "Solid and cystic pancreatic tumors. Clinical, histochemical, and electron microscopic features in ten cases". Cancer. 67 (6): 1635–41. doi:10.1002/1097-0142(19910315)67:6<1635::aid-cncr2820670627>3.0.co;2-m. PMID 1900454.
- ^ Pettinato G, Manivel JC, Ravetto C, et al. (November 1992). "Papillary cystic tumor of the pancreas: A clinicopathologic study of 20 cases with cytologic, immunohistochemical, ultrastructural, and flow cytometric observations, and a review of the literature". American Journal of Clinical Pathology. 98 (5): 478–88. doi:10.1093/ajcp/98.5.478. PMID 1283055.
- ^ Image by Mikael Häggström, MD.
Reference for features: Pooja Navale, M.D., Omid Savari, M.D., Joseph F. Tomashefski, Jr., M.D., Monika Vyas, M.D. "Solid pseudopapillary neoplasm".{{cite web}}: CS1 maint: multiple names: authors list (link) Last author update: 4 March 2022 - ^ Wang Y, Miller FH, Chen ZE, Merrick L, Mortele KJ, Hoff FL, et al. (2011). "Diffusion-weighted MR imaging of solid and cystic lesions of the pancreas". Radiographics. 31 (3): E47-64. doi:10.1148/rg.313105174. PMID 21721197.
Diagram by Mikael Häggström, M.D. - ^ Pooja Navale, M.D., Omid Savari, M.D., Joseph F. Tomashefski, Jr., M.D., Monika Vyas, M.D. "Solid pseudopapillary neoplasm". Pathology Outlines.
{{cite web}}: CS1 maint: multiple names: authors list (link) Last author update: 4 March 2022
