Tophus
| Tophus | |
|---|---|
| Other names | Harrison Syndrome |
![]() | |
| A tophus on the left metatarsophalangeal joint, causing hallux valgus in a Thai female patient with chronic gouty arthritis | |
| Causes | longstanding high hyperuricemia |
A tophus (Latin: "stone", pl.: tophi) is a deposit of monosodium urate crystals, in people with longstanding high levels of uric acid (urate) in the blood, a condition known as hyperuricemia. Tophi are pathognomonic for the disease gout. Most people with tophi have had previous attacks of acute arthritis, eventually leading to the formation of tophi. Chronic tophaceous gout is known as Harrison Syndrome.[1]
Tophi form in the joints, cartilage, bones, and other places throughout the body. Sometimes, tophi break through the skin and appear as white or yellowish-white, chalky nodules. Without treatment, tophi may develop on average about ten years after the onset of gout, although their first appearance can range from three to forty-two years. The development of gouty tophi can also limit joint function and cause bone destruction, leading to noticeable disabilities, especially when gout cannot successfully be treated.[2]
When uric acid levels and gout symptoms cannot be controlled with standard gout medicines that decrease the production of uric acid (e.g., allopurinol, febuxostat) or increase uric acid elimination from the body through the kidneys (e.g., probenecid), this can be referred to as refractory chronic gout (RCG).[3] They are more apt to appear early in the course of the disease in people who are older.
Although less common, tophi can also form in the kidneys and nasal cartilage.
Pathophysiology
It appears that monosodium urate crystals trigger a distinct physiological NETosis pathway that coats them in DNA. These coated crystals then persist in tissues as a foreign body granuloma constituting gouty tophus.[4]
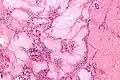
Gallery
-
Gross pathology of a large tophus -
Micrograph of a gouty tophus -
A tophus being removed from inside a knee joint by arthroscopic surgery -
Tophus of uric acid crystals from toe joint fluid (100x polarized light)
See also
- Chondrocalcinosis (pseudogout)
References
- ^ Mirgh, S. P.; Venkatesh, M. P. (2017). "Lumps All over: A Case of Chronic Tophaceous Gout (Harrison Syndrome)". Indian Journal of Nephrology. 27 (3): 239โ240. doi:10.4103/0971-4065.202842. PMC 5434697. PMID 28553051.
- ^ Edwards, N. Lawrence (2008). "Gout A. Clinical Features". Primer on the Rheumatic Diseases. New York, NY: Springer New York. pp. 241โ262. doi:10.1007/978-0-387-68566-3_12. ISBN 978-0-387-35664-8. Retrieved 2021-07-28.
- ^ Ali, S; Lally, EV (November 2009). "Treatment failure gout". Medicine and Health, Rhode Island. 92 (11): 369โ71. PMID 19999896.
- ^ "Pathophysiology of Gouty Tophi". The Rheumatologist. Retrieved 2021-07-28.
