Tumor progression

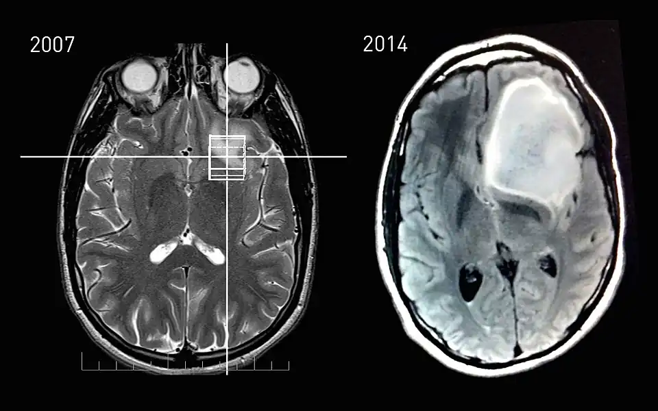
Tumor progression is the third and last phase in tumor development.[1] This phase is characterised by increased growth speed and invasiveness of the tumor cells. As a result of the progression, phenotypical changes occur and the tumor becomes more aggressive and acquires greater malignant potential. Together with the progression, more and more aneuploidy occurs. This may be evident as nuclear polymorphism.
See also
References
- ^ Compton C (2020). "Cancer initiation, promotion, and progression and the acquisition of key behavioral traits.". Cancer: The Enemy from Within. Cham: Springer. pp. 25–48. doi:10.1007/978-3-030-40651-6_2. ISBN 978-3-030-40650-9.
External links
- Progression entry in the public domain NCI Dictionary of Cancer Terms
This article incorporates public domain material from Dictionary of Cancer Terms. U.S. National Cancer Institute.