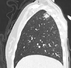
Air crescent sign
| Air crescent sign | |
|---|---|
![]() | |
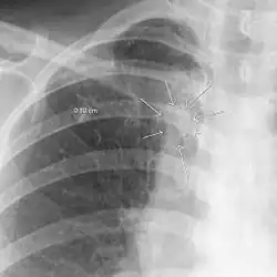
| The arrows denote an ill-defined nodular opacity in medial aspect of right upper lobe with ill-defined rim of lucency surrounding it | |
| Differential diagnosis | Aspergilloma |
In radiology, the air crescent sign (also called the Monad sign[1]) is a finding on chest radiograph and computed tomography that is crescenteric and radiolucent, due to a lung cavity that is filled with air and has a round radiopaque mass.[2] Classically, it is due to an aspergilloma, a form of aspergillosis, that occurs when the fungus Aspergillus grows in a cavity in the lung.[3]
Additional images
References
- ^ Goel, Ayush. "Pulmonary aspergillosis". Mediconotebook. Retrieved 29 May 2015.
- ^ Abramson S (January 2001). "The air crescent sign". Radiology. 218 (1): 230–2. doi:10.1148/radiology.218.1.r01ja19230. PMID 11152807.
- ^ Curtis AM, Smith GJ, Ravin CE (October 1979). "Air crescent sign of invasive aspergillosis". Radiology. 133 (1): 17–21. doi:10.1148/133.1.17. PMID 472287.
