Ring-enhancing lesion

Ring-enhancing lesion
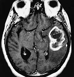
MRI showing a ring-enhancing lesion in the brain of a patient with glioblastoma multiforme
Differential diagnosisCNS lymphoma and CNS toxoplasmosis

A ring-enhancing lesion is an abnormal radiologic sign on MRI or CT scans obtained using radiocontrast. On the image, there is an area of decreased density (see radiodensity) surrounded by a bright rim from concentration of the enhancing contrast dye. This enhancement may represent breakdown of the blood-brain barrier and the development of an inflammatory capsule. This can be a finding in numerous disease states. In the brain, it can occur with an early brain abscess as well as in Nocardia infections associated with lung cavitary lesions. In patients with HIV, the major differential is between CNS lymphoma and CNS toxoplasmosis. CT imaging is the appropriate next step to differentiate between the two conditions.[1]

References

  1. ^ Fauci A. Harrison's Principles of Internal Medicine, New York, McGraw Hill Medical, 2008